|
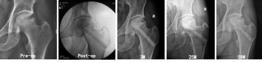
股骨头坏死(陶瓷棒技术)
陶瓷棒技术保髋治疗酒精性股骨头坏死(男性,46岁,ARCO III) 术前HHS 73分,术后1年HHS 94分。 植入材料:陶瓷棒,10*80mm,1根 + 不规则多孔颗粒,直径 1.0-3.5mm,6g 上一篇股骨头坏死(陶瓷棒技术)下一篇股骨头坏死(陶瓷棒技术) |
|
股骨头坏死(陶瓷棒技术)
陶瓷棒技术保髋治疗酒精性股骨头坏死(男性,46岁,ARCO III) 术前HHS 73分,术后1年HHS 94分。 植入材料:陶瓷棒,10*80mm,1根 + 不规则多孔颗粒,直径 1.0-3.5mm,6g 上一篇股骨头坏死(陶瓷棒技术)下一篇股骨头坏死(陶瓷棒技术) |